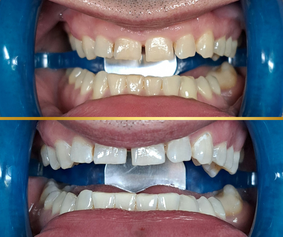
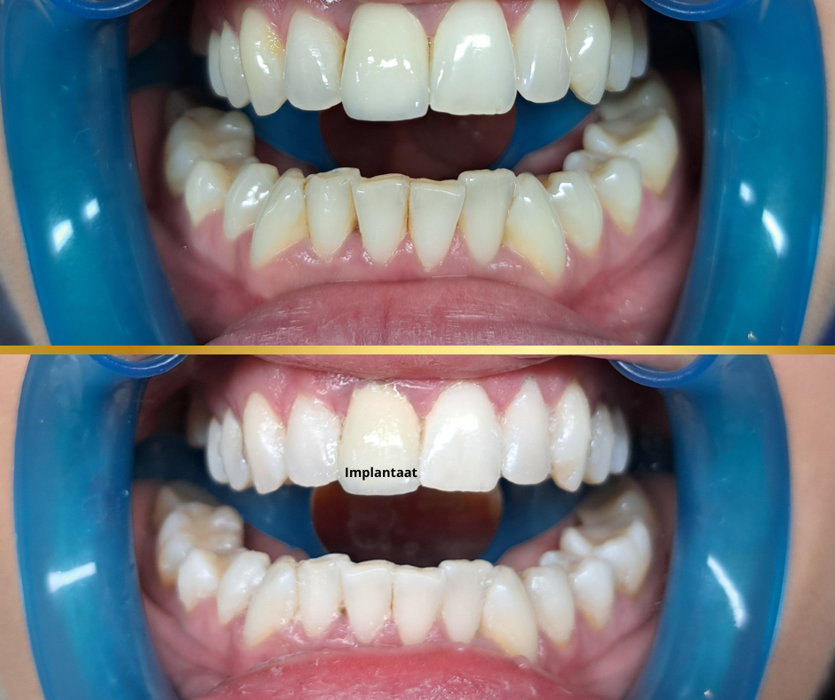
Tanden bleken

Tanden bleken zonder peroxide

Sinds 1 november 2012 mogen schoonheidssalons en bleekpraktijken een bleekgel met maximaal 0,1% waterstofperoxide gebruiken. De meeste bleekpraktijken en schoonheidssalons gebruiken daarom een peroxidevrije bleekgel met een lage concentratie Sodium Perborate of een hoge dosering Sodium Bicarbonaat.

Tanden Bleken met peroxide

Sinds 1 november 2012 mogen alleen tandartsen tanden bleken met peroxide. De concentratie van waterstofperoxide bij de tandarts is maximaal 6%. De reden voor deze nieuwe regelgeving was het grote aantal klachten bij klanten na behandelingen met hoge concentraties waterstofperoxide. De belangrijkste klachten waren zeer gevoelige (pijnlijke) tanden en verbrand tandvlees.

Veelgestelde vragen

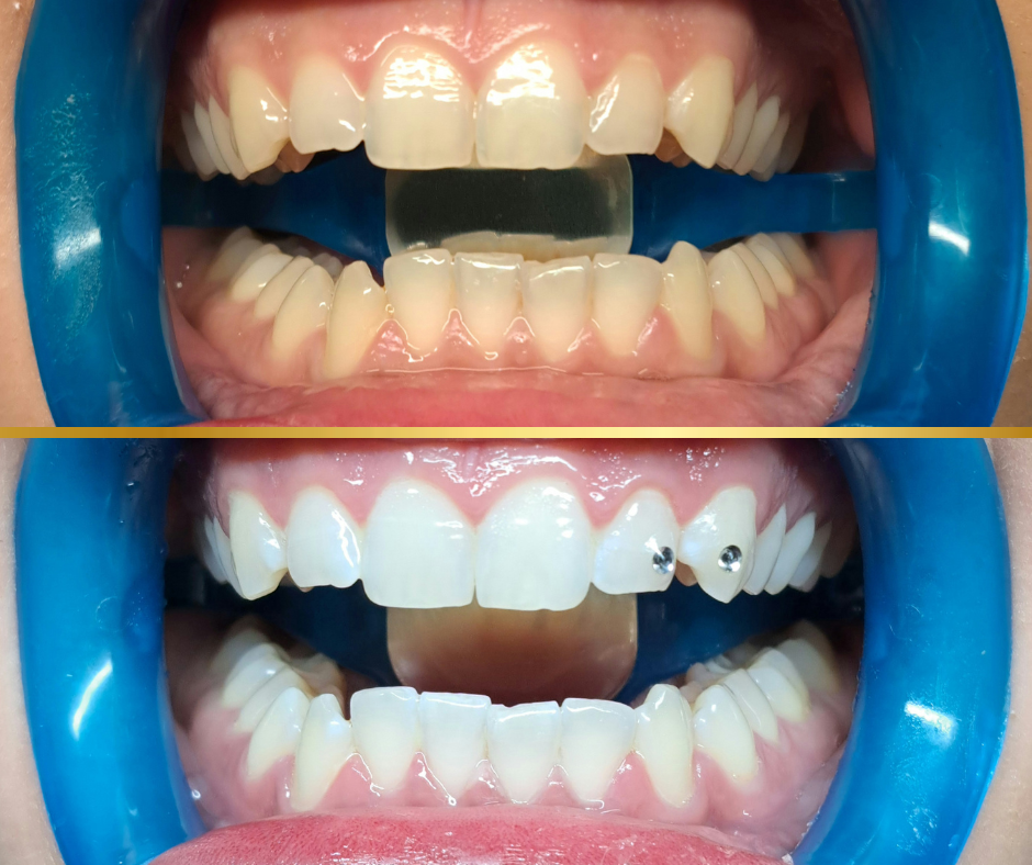
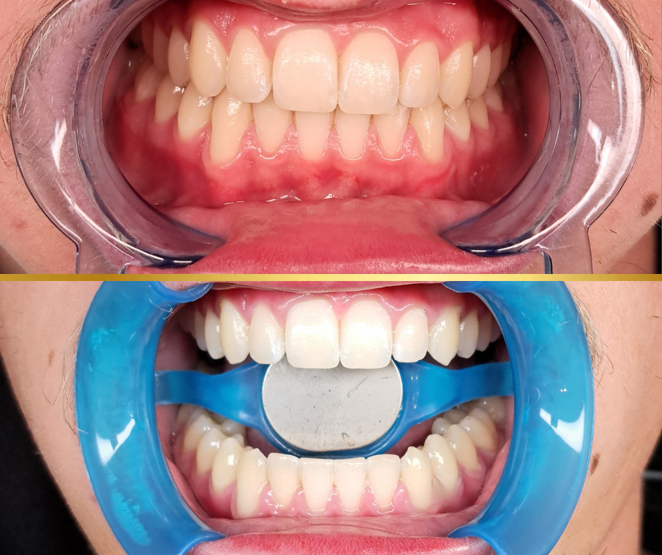
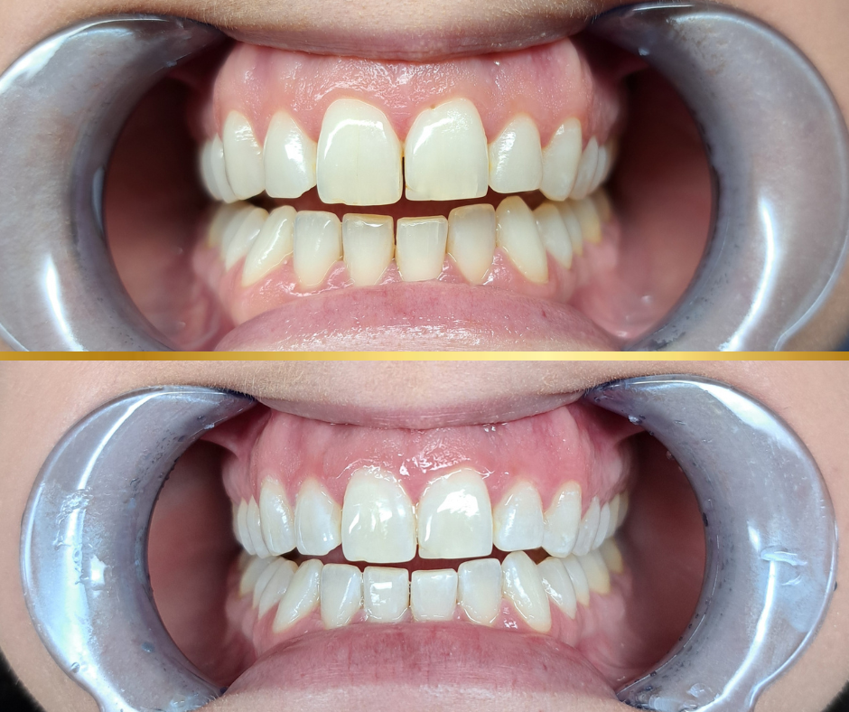
1. Wat is tandenbleken en hoe werkt het?

Tandenbleken is een cosmetische procedure die helpt bij het verwijderen van vlekken en verkleuringen van de tanden. Ik gebruik hoogwaardig materiaal en geavanceerde apparatuur om een veilige en effectieve behandeling te garanderen. Tijdens de behandeling wordt een speciale bleekgel op de tanden aangebracht, die geactiveerd wordt door een lamp voor optimale resultaten.

2. Waarom zou ik kiezen voor jouw salon in plaats van een reguliere tandarts? 

Mijn salon biedt een persoonlijke benadering met uitgebreide aandacht voor elke klant. Met jarenlange ervaring en hoogwaardige apparatuur garandeer ik betere resultaten en een comfortabele ervaring. In mijn salon vindt je een intieme en rustige sfeer, waar ik de tijd neem om je vragen te beantwoorden en een behandeling op maat aan te bieden.

3. Hoeveel tijd moet ik uittrekken voor een behandeling? 

De totale tijd voor een behandeling van 3 sessies is ongeveer 70 tot 80 minuten. Dit omvat zowel de voorbereiding als de daadwerkelijke behandelingsperiode. Ik neem de tijd om je goed voor te bereiden en je verwachtingen te bespreken, zodat je volledig tevreden bent met het resultaat.

4. Is tandenbleken veilig?

Ja, tandenbleken is over het algemeen veilig, vooral als het wordt uitgevoerd door een professional met de juiste ervaring en apparatuur. Ik gebruik uitsluitend producten die zijn goedgekeurd en getest, en ik zorg ervoor dat ze geschikt zijn voor jouw specifieke situatie.
 

Specifieke Vragen
 

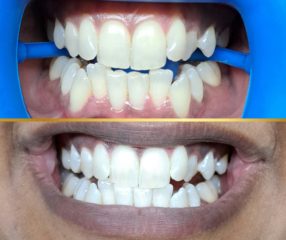
5. Hoeveel sessies zijn er nodig voor het beste resultaat? 

De meeste klanten zien een significante verbetering na één sessie, maar voor een optimaal resultaat kunnen meerdere sessies (bijvoorbeeld 2-3) worden aanbevolen, afhankelijk van jouw wens en de huidige tint van je tanden.

6. Wat gebeurt er als ik na de behandeling mijn tanden weer verkleur? 

Na de behandeling is het normaal dat je tanden na verloop van tijd weer enigszins verkleuren. Dit is afhankelijk van jouw dieet en mondhygiëne. Ik bied speciale onderhoudsbehandelingen en tips aan om je resultaten zo lang mogelijk te behouden.

7. Hoe vaak kan ik mijn tanden laten bleken? 

Het is meestal aan te raden om minimaal 6 maanden tussen behandelingen te wachten om ervoor te zorgen dat je tanden en tandvlees gezond blijven. Tijdens een consult kan ik je adviseren over de beste frequentie voor jouw situatie.
 

Praktische Vragen
 

8. Waar bevindt jouw salon zich? 

Mijn salon is gelegen op zolder in mijn huis, zodat ik een persoonlijke en rustige sfeer kan bieden. Klanten moeten de trap op, maar ik verzeker je dat de ervaring en kwaliteit van de behandeling dat meer dan waard zijn!

9. Is het parkeren gemakkelijk?  

Ja, er is parkeergelegenheid in de buurt van mijn woning, wat het gemakkelijk maakt voor klanten om op afspraak te komen.

10. Kan ik een afspraak annuleren of verzetten?

Ja, je kunt je afspraak annuleren of verzetten, maar ik verzoek je om dit minimaal 24 uur van tevoren te doen. Dit stelt mij in staat om je tijd vrij te maken voor andere klanten.


Extra Vragen
 

11. Zijn er bijwerkingen na de behandeling?

Na de behandeling kunnen sommige klanten tijdelijk gevoeligheid ervaren. Dit is normaal en zou na een korte tijd moeten verdwijnen. Ik zal je na de behandeling goed begeleiden over wat je kunt verwachten.

12. Bied je kortingen of aanbiedingen aan?

Ik bied af en toe speciale aanbiedingen en kortingen aan voor nieuwe klanten of voor het boeken van meerdere sessies. Houd mijn website en sociaal media in de gaten voor de meest actuele aanbiedingen

Advies na de Tandenbleekbehandeling

Na je tandenbleekbehandeling is het belangrijk om enkele richtlijnen op te volgen om de resultaten te optimaliseren en ervoor te zorgen dat je tanden gezond blijven. Hier zijn enkele belangrijke adviezen:

Direct na de Behandeling

1. Vermijd Kleurstoffen: Na de behandeling zijn je tanden tijdelijk gevoeliger voor vlekken. Het is raadzaam om je te onthouden van voedsel en dranken die sterke kleurstoffen bevatten gedurende minimaal 24 uur. Dit omvat onder andere koffie, thee, rode wijn en frisdranken.

2. Voorkeur voor Mild Voedsel: Probeer in de eerste paar uur na de behandeling alleen zacht en mild voedsel te nuttigen. Dit zorgt ervoor dat je tanden zich kunnen aanpassen zonder extra irritatie of schade.

Witte Dieet: Wat te Eten en Te Drinken 24 Uur na de Behandeling

Het witte dieet bestaat uit voedsel en dranken die geen kleurstoffen bevatten. Dit helpt om de resultaten van je tandenbleekbehandeling te behouden. Hieronder vind je een lijst van aanbevolen producten:

Toegestane Producten:

Dranken:

  • Water (bij voorkeur plat of bruisend)
  • Melk
  • Kokoswater
  • Heldere, ongezoete dranken (zonder kleurstof)

Voedsel:

Wit brood, crackers of rijstwafels

  • Gekookte of gestoomde aardappelen
  • Wit gekookt of gebakken vis
  • Kippensoep of heldere bouillon
  • Gekookte witte groenten zoals bloemkool, knolselderij of champignons
  • Wit of lichtgekleurd fruit zoals banaan of appel
  • Witte pasta met witte saus

Voeding Om Te Vermijden:

  • Kleurstoffen en krachtige smaken (zoals kruiden en specerijen)
  • Koffie, thee en andere donkere dranken
  • Rood vlees en gekleurde sauzen
  • Chocolade en andere zoetigheden met kleurstoffen
  • Groenten met een sterke kleur zoals spinazie, wortelen of tomaten

Vervolgzorg

1. Mondhygiëne: Blijf een goede mondhygiëne hanteren door regelmatig te poetsen en flossen. Gebruik een zachte tandenborstel en een milde tandpasta om irritatie van de tanden te voorkomen.

2. Vermijd Roken: Als je rookt, is het aan te raden om dit gedurende de eerste 24 uur na de behandeling te vermijden. Roken kan vlekken op je tanden veroorzaken en de resultaten aantasten.

Door deze richtlijnen en het witte dieet te volgen, help je ervoor te zorgen dat je tanden er stralend en gezond uit blijven zien na de behandeling. Mocht je nog vragen hebben of behoefte hebben aan meer informatie, aarzel dan niet om contact op te nemen!

Prijslijst Tandenbleken

  • Tanden polijsten
    € 15,00
  • 1 sessie
    € 50,00
  • 2 sessies
    € 80,00
  • 3 sessies
    € 105,00
  • 4 sessies
    € 130,00
  • 5 sessies
    € 150,00
  • 6 sessies
    € 165,00

Meer Weten?

Prettify by M Beauty Salon
Franciscushof 40
4133 BG Vianen

06 47 25 12 43
info@prettifybym.nl